Osteocondrose é unha enfermidade de clase mundial porque afecta a persoas de todo o mundo (40-90%). Esta patoloxía ocorre na maioría dos casos en persoas de idade madura, despois dos 30 anos. A dor nas costas na vida cotiá é frecuentemente atribuída a esta enfermidade. No noso artigo analizaremos os síntomas detallados, descubriremos as causas e os métodos de tratamento da osteocondrose. En medicina fálase desta enfermidade como unha lesión do tecido espinal de carácter dexenerativo-distrófico. A osteocondrose vai acompañada de lesións dos discos intervertebrais, superficies articulares, corpos vertebrales e ligamentos. Como regra xeral, coa osteocondrose, primeiro afectan os ósos e os ligamentos.
Hai varias etapas no desenvolvemento da osteocondrose. Vexámolos con máis detalle:
- A osteocondrose na fase inicial parece unha deshidratación do núcleo pulposo, o que provoca unha diminución da posición da vértebra. Para que quede máis claro para o lector, imos explicar que é o núcleo pulposo. Este termo médico refírese ao interior do disco intervertebral, que está representado por compoñentes semi-fluídos (fibras de tecido conxuntivo) e xelatinosos (condrinas). Durante este período, o paciente experimenta rachaduras no anel fibroso.
- A seguinte etapa está intimamente relacionada coa anterior: debido ao prolapso vertebral, os ligamentos e os músculos caen. Esta condición provoca un desequilibrio motor das vértebras. Este período caracterízase pola espondilolistesis ou, en termos sinxelos, o desprazamento das vértebras.
- A terceira etapa de desenvolvemento da osteocondrose caracterízase por manifestacións máis rechamantes para unha persoa común: protuberancias dos discos intervertebrais (protrusión do seu contido) e artrose.
- A fase final da osteocondrose está asociada aos osteofitos. O noso corpo, notando a "floxadura" das vértebras, intenta devolver a columna ás súas funcións orixinais: apoio e protección. Para conseguilo, nas superficies das vértebras aparecen crecementos óseos, que reciben o nome de osteofitos. Durante o mesmo período, o tecido fibroso crece. O resultado destes procesos é o atrapamento do segmento motor da columna vertebral na cuncha.
A osteocondrose é unha enfermidade de varias especies. Hai osteocondrose das rexións cervical, torácica e lumbosacra, así como un tipo común de osteocondrose. A osteocondrose da articulación do xeonllo volveuse cada vez máis común na práctica médica.
Razóns para o desenvolvemento da osteocondrose
As razóns para o desenvolvemento desta enfermidade son numerosas e non sempre son fáciles de determinar. As persoas achéganse ao desenvolvemento da osteocondrose por un estilo de vida sedentario, que é tan común hoxe en día, o exceso de peso, os malos hábitos (en particular, o tabaquismo), a mala alimentación, os pés planos, a actividade física pesada e a mala postura. A lesión da columna vertebral pode contribuír á aparición de osteocondrose, e tamén pode desenvolverse por predisposición xenética. Os trastornos metabólicos, as infeccións, as anomalías conxénitas e os cambios relacionados coa idade son causas comúns do desenvolvemento desta enfermidade. Un feito interesante é a conexión entre o desenvolvemento da osteocondrose e as vibracións. Isto afecta directamente aos condutores de maquinaria agrícola ou aos operadores de máquinas.
A osteocondrose actual non ten restricións de idade serias: ocorre tanto en persoas maiores como en mozos. Hai unha opinión de que o desenvolvemento da osteocondrose está asociado con depósitos de sal, pero non é do todo xusto. Os depósitos de sal son máis probables unha consecuencia da osteocondrose. A causa da dor na osteocondrose adoita ser a irritación das raíces nerviosas, chamada irritación na medicina. Os trastornos vasculares no contexto da osteocondrose desenvólvense debido á inervación deteriorada do sistema vasomotor.
Síntomas da osteocondrose

O síntoma máis evidente da osteocondrose é a dor e o malestar. A dor non sempre é constante; pode empeorar periodicamente e despois diminuír. Estes síntomas adoitan ir acompañados de entumecimiento dos membros. Na maioría dos casos, a dor irradia ao lado esquerdo do corpo. Se nota os síntomas desta enfermidade en si mesmo, apresúrase e consulte a un especialista: un terapeuta ou un neurólogo. Detectar a osteocondrose nunha fase inicial mellorará a eficacia do seu tratamento.
Con osteocondrose, os pacientes adoitan queixarse dun aumento da fatiga. Unha característica interesante, a primeira vista non está claro como se relaciona con esta enfermidade, é o frío dos membros. A osteocondrose adoita acompañar a dor de cabeza e a sensación de mareo. Unha característica da enfermidade tamén é a fatiga ocular elevada e incluso a diminución da visión. Coa osteocondrose da rexión lumbosacra, os pacientes poden experimentar problemas co sistema reprodutor. É importante que as mulleres saiban que a osteocondrose pode interferir co curso normal do embarazo e a propia concepción. Cada tipo de osteocondrose ten os seus propios signos característicos. Así, co tipo cervical da enfermidade obsérvanse signos en forma de dores de cabeza (especialmente ao mover a cabeza), mareos ao xirar a cabeza, sensibilidade deteriorada da zona afectada, dor no pescozo, omóplato, brazos e peito. Un síntoma interesante e non particularmente agradable da osteocondrose cervical é a mobilidade da lingua prexudicada. O tipo de osteocondrose torácica é raro e caracterízase por dor no peito, especialmente ao respirar. A dor pode irradiarse ao estómago, ao corazón e ao fígado. Este tipo tamén se caracteriza por entumecimiento, só agora na zona do peito. Coa patoloxía lumbosacra, os pacientes adoitan queixarse de dor irradiada nas súas pernas. Outro síntoma deste tipo de osteocondrose é a paresia das extremidades inferiores.
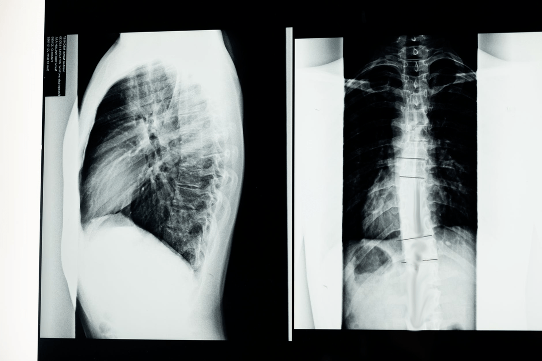
Métodos para diagnosticar osteocondrose

Antes de comezar os estudos diagnósticos, o neurólogo recolle o historial médico do paciente e estuda coidadosamente as súas queixas. A osteocondrose ten síntomas comúns con algunhas outras enfermidades, polo que é importante poder diferenciar patoloxías. Os estudos de raios X axudarán a confirmar o diagnóstico de osteocondrose: radiografía, mielografía e tomografía computarizada.
Unha radiografía de enquisa permítelle obter unha imaxe de raios X da columna vertebral ou unha sección dela. Deste xeito, o médico pode determinar a localización afectada pola enfermidade. Para máis claridade, explicaremos como se pode determinar a osteocondrose mediante raios X: a imaxe mostrará un estreitamento do disco intervertebral, a presenza de crecementos óseos (osteofitos) ou un cambio na forma do segmento espinal.
O exame mielográfico é máis complexo que o exame radiográfico. Isto débese a certas manipulacións que os médicos teñen que realizar durante a mielografía: o líquido de contraste inxéctase na canle da medula espiñal. Isto pode supoñer un perigo para o paciente: en primeiro lugar, pode desenvolverse unha reacción alérxica á substancia inxectada e, en segundo lugar, se a punción non ten éxito, a medula espiñal pode danarse. A pesar diso, a mielografía correctamente realizada permite aos especialistas ver a estrutura interna da canle da medula espiñal. Este método é especialmente importante para diagnosticar a hernia da columna vertebral.
A TC (tomografía computarizada) e a MRI (resonancia magnética) son os métodos máis eficaces e modernos para diferenciar a osteocondrose e as enfermidades da columna vertebral con síntomas similares.
Tratamento da osteocondrose

O tratamento da osteocondrose realízase de forma integral. Esta terapia traballa para eliminar a síndrome principal e as causas da enfermidade. Para combater a osteocondrose, os médicos usan acupuntura, tratamento ao baleiro, terapia manual, tratamento con láser, tracción, estimulación eléctrica, punción farmacolóxica e magnética. A principal tarefa para obter un tratamento eficaz é a detección oportuna da enfermidade. As persoas que se enfrontan a esta grave enfermidade están preocupadas pola pregunta principal: é posible curar a osteocondrose? A resposta a isto dependerá da forma e grao de osteocondrose. Se o tratamento da enfermidade se inicia na primeira fase, pode desfacerse da osteocondrose para sempre.
Para tratar a osteocondrose, os médicos usan métodos medicinais e non medicinais. Entre os fármacos utilizados no tratamento da osteocondrose, cómpre destacar:
- Fármacos antiinflamatorios non esteroides. Axudan a eliminar a dor e a inflamación. Os AINE pódense prescribir para uso tópico en forma de pomadas e xeles.
- Bloqueos de novocaína. Eles manexan eficazmente a dor.
- Drogas esteroides. Son prescritos en forma de inxeccións epidurales e intramusculares.
- Relaxantes musculares. Tales remedios axudan ao paciente a combater os espasmos musculares.
- Vitaminas B1, B6 e B12. Axudarán a mellorar os procesos metabólicos necesarios para a saúde da columna vertebral.
Os exemplos de tratamentos non farmacolóxicos son variados, interesantes e disfrutables. O seguinte axudarache a xestionar as manifestacións da osteocondrose sen medicamentos:
- terapia de exercicios;
- fisioterapia;
- masaxe;
- terapia manual;
- tracción;
- reflexoloxía.
Vexamos estes métodos de tratamento con máis detalle. A fisioterapia no caso da osteocondrose é unha selección de exercicios físicos para eliminar a compresión das raíces nerviosas, corrixir a postura e fortalecer o corsé muscular. A terapia de exercicio axuda a previr o desenvolvemento de complicacións da osteocondrose. Tal actividade física axuda a reducir a carga directamente sobre a columna vertebral e tamén mellora o abastecemento de sangue.
Os procedementos fisioterapéuticos prescríbense aos pacientes con osteocondrose para eliminar a dor e a inflamación. A electroforese, o ultrasóns, o tratamento con láser e imán funcionan de forma eficaz nesta área. A masaxe estimula a circulación sanguínea e alivia a tensión muscular. Non só a masaxe terapéutica axuda a eliminar a dor, senón tamén a terapia manual. Ademais, axuda a restaurar a mobilidade das vértebras e a correcta postura.

Tracción... que é? Baixo isto, a primeira vista, unha palabra incomprensible esconde un significado sinxelo: "extensión". O desexo de estirar a columna vertebral probablemente sexa familiar para todas as persoas que padecen osteocondrose. Na medicina actual hai dispositivos especiais que permiten facelo. Este procedemento permítelle desfacerse da dor e aumentar o espazo intervertebral.
Outro método interesante de tratamento non farmacolóxico da osteocondrose é a reflexoloxía. Está moi relacionado coa acupuntura, xa que implica influír nos puntos reflexoxénicos do corpo humano.
A mellor cura para a osteocondrose
Un remedio ideal para a osteocondrose debe eliminar a dor e a inflamación, mellorar a circulación sanguínea, restaurar a cartilaxe e a mobilidade articular e tamén reducir a depresión do paciente. Un complexo de medicamentos ben escollidos fai fronte a todas estas tarefas. Nesta parte do artigo analizaremos todos estes medicamentos en detalle.
Fármacos antiinflamatorios non esteroides, ou AINE, para a osteocondrose

Os AINE axudan a un paciente con osteocondrose a superar a dor, a inflamación e o inchazo. Estes medicamentos pódense producir tanto para uso externo local en forma de pomadas e xeles, como para uso interno en forma de comprimidos e solucións para inxeccións. Os medicamentos antiinflamatorios non esteroides poden ser de diferentes grupos:
- Un grupo de medicamentos co principio activo diclofenaco. Estes medicamentos melloran o efecto analxésico doutros analxésicos e reducen a inflamación. A desvantaxe deste grupo é a imposibilidade do seu uso durante o embarazo e a lactación.
- A diferenza dos medicamentos anteriores, os fármacos do grupo do ibuprofeno están aprobados para o seu uso por mulleres embarazadas e lactantes baixo a supervisión dun médico. A substancia é ben tolerada e, polo tanto, pódese prescribir aos nenos.
- O grupo de fármacos Ketoprofeno ten un efecto analxésico acelerado.
- Os AINE de nova xeración inclúen o grupo Nimesulide. Teñen efectos secundarios mínimos.
Vasodilatadores para osteocondrose
O estreitamento dos vasos sanguíneos con osteocondrose obsérvase en relación coa dor e a tensión muscular. Como resultado, prodúcese a fame de osíxeno dos tecidos danados e, como resultado, interrompe a funcionalidade dos órganos internos. Para evitar tales complicacións, os médicos prescriben aos seus pacientes medicamentos vasodilatadores.
Relaxantes musculares para osteocondrose
Os relaxantes musculares relaxan os músculos e teñen un efecto calmante. Isto ten un efecto beneficioso sobre o fluxo sanguíneo e axuda ao efecto analxésico dos medicamentos antiinflamatorios non esteroides. Os relaxantes musculares tamén axudan a acelerar o proceso de reparación do tecido danado.
Condroprotectores para osteocondrose
Os condroprotectores e os complexos vitamínicos axudan a restaurar o tecido cartilaginoso. Os condroprotectores enténdense como axentes que restauran non só o tecido cartilaginoso, senón tamén a mobilidade na articulación. As drogas dignas deste grupo son as baseadas en condroitina e glucosamina.
Sedantes para a osteocondrose
Parece que, por que tomar sedantes cando se trata a osteocondrose? A resposta non é tan complicada como se podería pensar: unha síndrome de dor que persegue a unha persoa durante un longo período de tempo pode provocar facilmente depresión e estrés frecuente. Na maioría dos casos, será suficiente tomar tintura de valeriana ou motherwort.
O médico tratante debe seleccionar medicamentos para o tratamento dunha enfermidade tan grave como a osteocondrose.
Corsé para osteocondrosis

No tratamento complexo da osteocondrose de calquera tipo, os médicos consideran útil usar un corsé. Os corsés están feitos especialmente por separado para as rexións cervical, torácica e lumbar ou para a fixación completa da columna vertebral. Para a osteocondrose torácica, utilízanse corsés feitos dun material elástico especial con férulas metálicas ou de plástico no interior. Para a osteocondrose lumbar utilízanse corsés con cruz ríxida e insercións lonxitudinais de metal ou plástico. O material empregado para a produción é cinta adhesiva ou neopreno. Un corsé de pescozo chámase colar e é ríxido. Os corsés que fixan toda a columna tamén se denominan correctores de postura. Os corsés veñen en brandos, medios e duros. O grao de rixidez do corsé é prescrito polo médico asistente de forma individual.
Usar un corsé para a osteocondrose axudará a fortalecer os músculos das costas, reducir a dor, mellorar a postura, evitar o desenvolvemento de complicacións e acelerar a recuperación. Hai certas regras cando se trata de usar un corsé. Os pacientes con osteocondrose definitivamente deben consultar cun especialista sobre a selección e a necesidade de usar un corsé. Por primeira vez, colócase o corsé durante non máis de 15 minutos, e despois non podes usalo máis de 6 horas ao día.
Prevención da osteocondrose
A prevención é de gran importancia para manter a saúde da columna vertebral e previr as exacerbacións da osteocondrose. Para a prevención, é necesario levar un estilo de vida saudable e activo, facer exercicios e loitar contra o exceso de peso, se é o caso. O estrés e o choque nervioso tamén poden provocar o desenvolvemento da osteocondrose. Polo tanto, é importante controlar a súa estabilidade mental e evitar situacións estresantes. As lesións unha vez recibidas poden eventualmente responder de forma negativa, polo que hai que evitalas desde a infancia. A nutrición adecuada para a osteocondrose e para a súa prevención é de especial importancia.
Dieta para osteocondrose

Algúns expertos falan do importante papel da nutrición para a saúde da columna vertebral. Os produtos consumidos por unha persoa deben proporcionarlle substancias que sintetizan o tecido cartilaginoso. Estamos a falar dos mucopolisacáridos contidos na marmelada, a carne en gelatina e a xelatina. É importante controlar a inxestión suficiente de líquidos, xa que a súa falta leva á deshidratación dos discos intervertebrais. As proteínas son útiles nunha dieta normal, e especialmente na presenza de osteocondrose. Estas substancias pódense obter de carne, froitos secos, peixe, feixóns e berenxenas.
Os minerais e as vitaminas fortalecen o tecido óseo. Así, podemos obter calcio de queixos duros, produtos lácteos, feixóns e leitugas. É importante lembrar que a vitamina D, que se atopa nos ovos, na manteiga e no peixe do mar, é necesaria para a absorción do calcio. O magnesio axuda a reter o calcio no tecido óseo e evita que se elimine do corpo. O magnesio pódese obter comendo pepinos, noces e sementes de xirasol. Moitas persoas saben sobre o contido de fósforo no peixe, pero o feito de que este elemento tamén estea incluído na composición de chícharos, soia, farelo e repolo branco é un feito menos coñecido. As fontes de manganeso inclúen carne de polo, xemas, queixo cottage, peles de patacas e plátanos.
Entre as vitaminas, cabe destacar o especial papel dos grupos A, B e C. As fontes de vitamina A son os ovos crus, o fígado, as cenorias e o melón. A carne de porco, a tenreira, o marisco, os cogomelos e os cereais conteñen vitaminas do grupo B. O ácido ascórbico, familiar para nós dende a infancia, atópase nas froitas e vexetais frescos.
Así, se observamos os produtos incluídos na dieta para a osteocondrose ou para a súa prevención, veremos que desde esta lista podemos elaborar un menú de pratos moi saborosos e variados.
Agora vexamos os produtos prohibidos. A lista negra de produtos para a osteocondrose inclúe: sal, encurtidos e adobos, especias quentes, alimentos procesados, azucre (pódese substituír por mel), refrescos e café.
Complicacións da osteocondrose

A osteocondrose, se non se trata adecuadamente, pode levar ao paciente á discapacidade. As complicacións desta patoloxía inclúen:
- Estenose medular debido ao estreitamento da súa canle. Isto provoca entumecimiento nos membros e problemas para camiñar.
- Nervios espiñais pinchados.
- Protrusión discal e posteriormente hernia intervertebral.
- Radiculite.
- Lumbago e ciática.
- Distonía vexetativo-vascular.
- hernia de Schmorl.
- Desprazamento vertebral.
- Enxaqueca e dores de cabeza.
Coa osteocondrose da columna cervical, adoita observarse un aumento da presión arterial.
Se tes queixas sobre a saúde da túa columna, apúrate a buscar axuda dun médico, porque o tratamento oportuno é a clave para unha recuperación exitosa.





















